فروشگاه تجهیزات پزشکی اریا مدیک
پوسیدگی دندان یکی از شایعترین مشکلات سلامتی در جهان است. دندانهای پوسیده در واقع به دنبال یک سری حفرهها در دندان به وجود میآید که در نهایت سوراخها یا منافذی را در سطح دندان ایجاد میکنند. این مشکل میتواند در تمام افراد و در هر سنی، حتی کودکان و خردسالان رخ دهد و سلامت دندانهای آنها را تحت تاثیر قرار دهد.
خرابی دندان میتواند باعث درد و عفونت شود. در واقع پوسیدهشدن دندان از مراحل اولیه شروع میشود و بهتدریج با درمان نشدن و عدم رعایت اصول بهداشت دهان و دندان، شدت مییابد و لایههای عمیقتری از دندانها را تحت تاثیر قرار میدهند.
این مشکل میتواند منجر به دنداندرد شدید، عفونت و در نهایت ازدستدادن دندانها شود. مراجعه منظم به دندانپزشک، عادات مسواک زدن مرتب و صحیح و نخ دندان کشیدن میتواند افراد را در برابر پوسیدگی دندان محافظت کند.

خرابی دندان را میتوان بر اساس مراحل یا کلاس پوسیدگی دستهبندی کرد. این مرحلهها شامل موارد زیر میشود:
این مرحله، سطحی از پوسیدگی دندان را توصیف میکند که روی سطوح دندانی رخ میدهد و دندانپزشک میتواند بهراحتی آن را ببیند. این دسته شامل حفرههای روی سطوح جونده دندانهای عقب، مانند دندانهای آسیاب و پره مولر (دندان آسیاب کوچک) و پوسیدگی در دو طرف دندانهای جلویی میشود.
در این مرحله، حفرهها روی سطوح بین دندانهای آسیاب و پرهمولر ایجاد میشوند و با چشم انسان قابلمشاهده نیستند.
این پوسیدگی در سطوح بین دندانهای جلو رخ میدهد، اما لبههای برش دندانها را درگیر نمیکند. مشابه مرحله دو، در این طبقهبندی نیز پوسیدگی قابلمشاهده نیست.
این پوسیدگی در سطوح بین دندانهای جلویی نیز رخ میدهد، اما لبههای برش دندانها را نیز درگیر میکند.
در این مرحله حفرهها در جلو یا پشت دندانهای جلو یا عقب، نزدیک خط لثه ظاهر میشوند.
این پوسیدگی در سطح بالایی دندانها، چه در لبههای انسیزال ( 4 دندان قدامی بالا و پایین) و چه در نوک دندانهای عقبی دیده میشود.
عوامل متعددی میتواند موجب خرابی دندانها شود. دلایل اصلی خرابی دندانها شامل موارد زیر است:
1- تغذیه ی نامناسب
2- باکتری ها
3- بیماری های لثه
4- عدم رعایت بهداشت دهان و دندان
5- وجود دندان های کج که تمیز کردن آنها سخت است.
6- سیگار کشیدن
7- مصرف داروهایی مانند دارو های بیماری آسم، که باعث خشکی دهان میشود.
8- وارد شدن ضربات شدید به دندان
پوسیدگی در دندانها توسط پلاک، لایهای چسبنده از میکروبها در دهان ایجاد میشود. قند موجود در غذا و نوشیدنیهایی که فرد مصرف میکند، توسط میکروبهای موجود در پلاک به اسید تبدیل شده و بهتدریج به دندانها آسیب میرساند.
در واقع روند پوسیدگی به این شکل است که ابتدا یک پلاک دندانی که یکلایه چسبناک و شفاف است روی دندانها را میپوشاند. این مورد معمولا به دنبال مصرف بالای قند و نشاستهها و حذف نشدن آنها به وجود میآید.
در ادامه باکتریهای دهان و دندان شروع به تغذیه از این پلاکها کرده و آنها بهتدریج روی دندانها سخت شده و به جرم تبدیل میشوند. اسیدهای موجود در این پلاکها بهتدریج مینای سخت و بیرونی دندان را از بین میبرد و این فرسایش باعث ایجاد منافذ یا سوراخهای ریزی در مینای دندان خواهد شد.

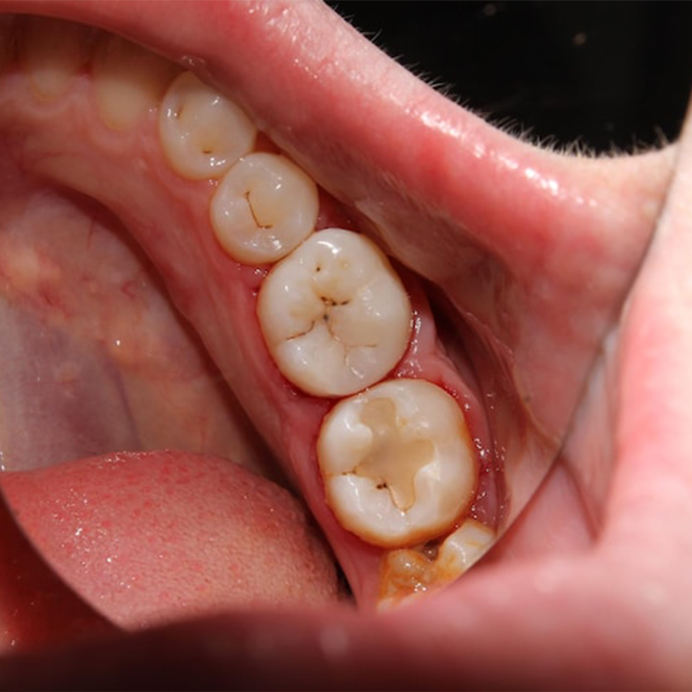
معمولا محل دندان یکی از فاکتورهای موثر در دلیل پوسیده شدن دندانهاست. پوسیدگی اغلب در دندانهای عقبی افراد، خصوصا دندانهای آسیاب و دندان عقل ایجاد میشود. این دندانها شیارها، حفرهها و شکافها و ریشههای متعددی دارند که میتوانند ذرات غذا را در خود جمعآوری کنند.
معمولا تمیز نگهداشتن این دندانها، خصوصا دندان عقل که دسترسی به آن بسیار سختتر است و مسواک بهراحتی به آن نمیرسد، بسیار دشوار است و به همین دلیل ریسک بالاتری برای پوسیدگی دارند. ازاینرو پوسیدگی را میتوان بیشتر در دندانهای عقبی مشاهده کرد.
درست است که پوسیدگی در دندانها بیشتر متوجه دندانهای عقبی است، اما دندانهای جلو نیز میتوانند دچار پوسیدگی شوند. در صورت خرابی دندانهای جلو، همان نشانههای درد، حساسیت دندانی و ظهور لکه و پوسیدگی روی دندانها مشاهده میشود.
ما در خصوص پوسیدگی این دندانها یک مشکل بدتر هم وجود دارد و آن تاثیر بسیار نامطلوبی است که دندانهای پوسیده جلو روی ظاهر و لبخند افراد دارند. ازاینرو درمانهای مورد نیاز برای رفع خرابی دندانهای جلو اهمیت بسیار بالایی دارند و باید سریعا این مشکل برطرف شود. دندانهای جلو در صورت پوسیده شدن، تاثیر منفی بسیار زیادی روی کاهش اعتمادبهنفس افراد خواهد داشت.
خراب شدن دندان نیز مانند هر بیماری دیگری با یک سری علائم و نشانهها مشخص میشود. علائم و نشانههای حفرهها بسته به وسعت و محل آنها متفاوت است. بهصورت معمول زمانی که یک حفره بهتازگی در سطح سخت دندانها ایجاد شده است، علائمی ندارد. با بزرگتر شدن سطح خرابی دندانها ممکن است علائم نیز شدت یافته و نشانههای مختلفی را از خود نشان دهد. این علائم عبارتاند از:
1- دندان درد و دردی که بدون هیچ علت و پیشینهای بهصورت ناگهانی بروز میکند
2- حساسیت و احساس درد هنگام خوردن و آشامیدن چیز شیرین و نوشیدنی های سرد و گرم
3- ایجاد سوراخ ها و حفره های قابل مشاهده
4- بروز لکه های سیاه ، قهوه ای و سفید روی سطح دندان
5- لثه های قرمز و متورم
6- بوی بد دهان
7- احساس طعم ناخوشایند در دهان

راهها و روشهایی وجود دارد که میتوان با دنبالکردن آنها از خراب شدن دندانها جلوگیری کرد.
مسواک زدن یکی از این موارد است که اهمیت بسیار بالایی نیز دارد. باید حداقل روزی دو بار و هر روز به مدت دو دقیقه با مسواک و خمیردندان حاوی فلوراید دندانها را مسواک زد.
برای پیشگیری از پوسیده شدن دندانها بهتر است تا جای ممکن از مصرف غذاهای شیرین و نوشیدنیهای گازدار خودداری کرد و آب را جایگزین این نوشیدنیها کرد.
داشتن یک رژیم غذایی سالم نیز از اهمیت بسیار زیادی برخوردار است. باید رژیم غذایی کاملا سالم و متعادل باشد و تمام مواد مغذی مورد نیاز بدن تامین شود. مصرف کمتر تنقلات و شیرینیها و غیره نیز میتواند مانع پوسیدگی در دندانها شود.
نکته مهم دیگر برای پیشگیری از پوسیده شدن دندانها انجام معاینات منظم دندانپزشکی است. بسیاری از کارشناسان توصیه میکنند که هر 6 ماه یکبار با یک دندانپزشک ملاقات کرده و از سلامت دندانها مطمئن شوید. خصوصا که پوسیدگی در مراحل اول فاقد علامت به خصوصی است.
برای رفع پوسیدگی دندان باید دید محل پوسیدگی کجاست و در چه سطح و شدتی دندانها دچار پوسیدگی شدهاند. این مورد میتواند در انتخاب نوع درمان جهت رفع پوسیدگی اهمیت زیادی داشته باشد. گاهی اوقات رفع پوسیدگی بهراحتی امکانپذیر است و در برخی موارد نیز به درمانهای گستردهتری برای این منظور نیاز است. درمانهای خانگی و درمانهای تخصصی در مطب دندانپزشکی از جمله این گزینههاست.
درمان پوسیده شدن دندان بسته به مرحله بیماری دارد. معمولا میتوان وجود پوسیدگی در دندانها را در مراحل اولیه متوقف یا حتی درمان کرد. درصورتیکه میزان پوسیدگی خفیف باشد، معمولا با استفاده از فلوراید و یک سری اقدامات پیشگیرانه میتوان آن را درمان کرد. برای تشخیص پوسیدگی در همین مراحل اولیه معمولا دندانپزشک از معاینه ساده یا اشعه ایکس استفاده میکند.
یکی از روشهای تخصصی درمان پوسیدگی دندانها در مطب دندانپزشکی، استفاده از یکلایه مخصوص سیلانت (شیار پوش) روی سطح دندانهای سالم پشتی است تا مانع رسیدن پوسیدگی به سایر دندانها شود. روی دندانهای پوسیده نیز با یک ژل فلوراید پوشانده میشود تا با این کار مینای دندان تقویت شده و به محافظت از دندانها کمک کند.
پرکردن نیز یکی از درمانهایی است که برای رفع خرابی دندان، خصوصا در مراحل پیشرفته و شدیدتر بهمنظور بازیابی ساختار دندانها در نظر گرفته میشود. در این درمان پوسیدگی برداشته شده و سوراخها با موادی مخصوص پر شده یا پوشانده میشوند.
درمان ریشه نیز در برخی مواقع برای رفع پوسیدگی و درمان مشکلات به وجود آمده نیاز است. خصوصا زمانی که پوسیدگی به مرکز دندان که خون و اعصاب در آن قرار دارد گسترشیافته باشد، درمان ریشه نیز احتیاج خواهد بود.
در نهایت نیز برای درمان ممکن است دندانپزشک تمام یا بخشی از دندان پوسیده شده آسیبدیده را بردارد. این کار در مواقعی انجام میشود که دندان کاملا آسیبدیده باشد و قابل ترمیم نباشد. در نتیجه این کار میتوان گزینههای پروتز، بریج دندانی یا ایمپلنت را در نظر گرفت. در خصوص خرابی دندانهای جلو، استفاده از روکشهای دندانی برای بازیابی ظاهر زیبای دندانها بهعنوان بخشی از روند درمان ضرورت زیادی دارد.
در کودکان نیز دندانها دچار پوسیدگی میشوند. خصوصا کودکانی که کمتر مسواک میزنند یا مصرف شیرینیها و تنقلات بیشتری دارند. دندانهای کودکان مینای نرمتر و نازکتری دارند. به همین دلیل پوسیدگی دندان در کودکان بسیار راحتتر و رایجتر است.
تغذیه نوزاد قبل از خواب نیز یکی از عوامل اصلی بروز خرابی دندان در آنهاست. هنگامی که به نوزادان قبل از خواب بطریهای پر از شیر، شیر خشک، آبمیوه یا سایر مایعات حاوی قند داده میشود، این نوشیدنیها ساعتها در هنگام خواب روی دندانهای آنها باقی میمانند و باکتریهای عامل پوسیدگی را تغذیه میکنند. این آسیب اغلب پوسیدگی دندان شیشه شیر نامیده میشود.
در کودکان نیز میتوان با استفاده از برخی روشها مانع پوسیده شدن دندانها شد. باید تا جایی که میشود دندانهای خردسالان را روزی دو بار تمیز کرد. از طرفی نیز باید مصرف شیرینیها و نوشیدنیهای شیرین و آبمیوه را در آنها محدود کرد.

درمان خرابی دندان کودکان از اهمیت بسیار بالایی برخوردار است، خصوصا که این مشکل میتواند عوارض زیادی را برای آنها به وجود بیاورد. در خصوص درمان پوسیدگی در کودکان، باید به یک متخصص دندان پزشک کودکانمراجعه کرد همچنین میتوانید با دکتر دندانپزشک مشورت کنید.
تقریبا درمانهای انجام شده برای کودکان تفاوت چندانی با درمان خرابی دندان در بزرگسالان ندارد. در کودکان نیز فلوراید تراپی، پرکردن دندان و درمان ریشه انجام میشود. کشیدن دندانهای شیری کودکان که دچار پوسیدگی شدهاند نیز بخشی از درمان انجام شده برای کودکان است.
بروز دردهای خفیف تا شدید از عوارض اصلی این عارضه است. اما عوارض آن در افراد مختلف متفاوت است.
از جمله ترین عوارض خرابی دندان میتوان به موارد زیر اشاره کرد:
1- بوی بد دهان
2- گسترش عفونت به لثه
3- خونریزی لثه
4- حساسیت دندان ها
بدترین عوارض را میتوان در کودکان و خردسالان مشاهده کرد. در کودکان عوارض پوسیدگی دندان میتواند روی رشد کودک و تغذیه آنها تاثیر منفی بگذارد. علاوه بر این پوسیدگی در کودکان میتواند تاثیراتی منفی روی گفتار کودکان نیز داشته باشد و حتی رشد فک در آنها را با مشکل مواجه کند. علاوه بر این، وجود این پوسیدگیها در دندانهای شیری کودکان میتواند در سلامت لثهها و دندانهای دائمی آنها نیز تاثیر منفی گذاشته و مشکلاتی را در ادامه برای آنها به وجود بیاورد.
بله؛ شیر مادر سرشار از مواد مغذی است و کارشناسان معتقدند مصرف شیر مادر توسط کودک میتواند در ادامه روی سلامت دندانهای آنها نیز تاثیر بگذارد و با تقویت لثهها و دندانها، تا میزان زیادی ریسک پوسیده شدن دندانهای آنها را کاهش دهد.

معمولا افراد از ایجاد حفرهها در سطوح دندانی خودآگاه نیستند. به همین دلیل مهم است که معاینات منظم را جدی گرفت، حتی در مواقعی که مشکلی در دندانها احساس نمیشود، مراجعه به دندانپزشکی و انجام چکاپ بسیار موثر است.
بااینحال اگر دنداندرد یا درد دهان و لثه دارید، بهتر است دراسرعوقت به دندانپزشک خود مراجعه کنید. خصوصا اگر هر یک از نشانههای رایج خرابی دندان را مشاهده کردید، باید هر چه سریعتر به دکتر دندان پزشک بروید از طریق مشاوره آنلاین با دکتر دندانپزشک از دکتر راهنمایی کسب کنید و سریعتر ویزیت شوید.
برای نظر دادن لطفا وارد شوید.